www.hno-wasserturm.de
• Home •
• Nach oben •
• Laserconchotomie •

Theresienkrankenhaus Mannheim


Heilig-Geist Hospital Bensheim
 
• Home •
• Tauchen •
• Schnarchen •
• Verstopfte Nase •
• Allergie-Infos •
• Stimm- u. Sprachstör. •
• Audiologie •
• Schlaf- u. Schnarchen •
• Bildgebung •
• Medikamente •
• Gleichgewichststörung •
• Hörstörungen •
• Mandelentzündungen •
• Operatives Spektrum •
• Links •

Ambulantes
OP-Zentrum Mannheim

(geschlossen)

Home

Allgemeines

Schwerpunkte

OP-Spektrum

ambulante OPs

Historie

TKH-Infos

Stadtplan

Impressum

Dr. Dieter Riemann +
Dr. Matthias Riemann

 

Unsere Praxis und Ärzte
Schwerpunkte
OP-Spektrum
Stationär im TKH
Stationär im HGH
Ambulante Operationen
Paukenröhrchen
Vorbereitung  vor OP
Nachsorge  nach  OP
Mandelprobleme
Rachenmandeln "Polypen"
HNO-OPs bei Kindern
Nasenatmungsbehinderung
Nasennebenhöhlen
Tauchen
Nasenpolypen
Sinuplastie
Nasenscheidewand- OP
Nasensprays
Nasenpflege
Schnarchen Schlafstörung
Laserung Nasenmuscheln
Hörstörungen
Tinnitus
Adaptive Neuromodulation
Gleichgewichtsstoerungen
Antiaging
Stimm- u. Sprachstörungen
HWS-Beschwerden
Ohrenschmalz
Medikamente
Kortison
Zecken
Suche in HNO-Riemann.de
Alphabetischer Index
Paramedizinisches
Patienteninfos (geschützt)
Downloads (geschützt)

Datenschutz


(E-Mail: wird nur unregelmäßig gelesen. Patientenbezogene Anfragen bitte nur telefonisch über die Praxis unter 0621-417541.
Eine offizielle Email-Adresse gibt es leider nicht mehr, da automatisierter Mißbrauch damit getrieben wurde, ggf. in extrem wichtigen Fällen siehe unter Impressum)

 

 

 

Zu große Nasenmuscheln

Was ist eine Nasenmuschel?

Die unteren Nasenmuscheln befinden bds. in der Nase vom Eingang bis zum Ende der Nase, den sog. Choanen und sind an den seitlichen Nasenwänden knöchern abgewachsen. Sie vergrößern die Oberfläche der Nase um die Atemluft besser anwärmen, befeuchten oder reinigen zu können - sie sind also wichtig und man darf Sie nicht entfernen. Je nach Bedarf schwellen Sie an (noch größere Oberfläche) oder ab (kleinere Oberfläche). Das ist normal und wechselt physiologischerweise auch zwischen rechts und links ab. Dieses Abschwellen kann man z.B. auch mit den (auf Dauer benutzt schädlichen) abschwellenden Nasentropfen oder - sprays erreichen, die man rezeptfrei in der Apotheke kaufen kann. Dies sollte man aber nur bei akutem Schnupfen o. Ä. tun, auf Dauer wird die Nasenatmung dadurch schlechter und die empfindliche Nasenschleimhaut wird dadurch zerstört.

Warum werden diese wichtigen Nasenmuscheln zu groß?

Ist dieses Anschwellen allerdings, z.B. durch Klimaeinflüsse, Allergien, Staub- oder Toxinexposition extrem verstärkt und die Nasenmuscheln sind über Ihr Maß hinausgewachsen, dann hilft in manchen Fällen nur noch die chirurgische Verkleinerung - entweder durch "Stahl oder Strahl" - die Mediziner meinen damit eine Verkleinerung mittels chirurgischer Instrumente oder Laser. Es gibt auch noch andere Methoden, die ich nahezu alle schon persönlich angewendet habe. z.B. Radiofrequenz, Argon-Plasma-Koagulation, Cobalation usw. Wir haben uns in unserer Praxis für einen Diodenlaser entschieden - doch dazu später mehr.

Wo genau sind diese Nasenmuscheln?

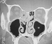
Da man sich als Laie schlecht vorstellen kann wo genau diese Nasenmuscheln in der Nase sitzen hier zusätzlich zu dem oberen Bild ein frontaler Querschnitt durch das Mittelgesicht:

Abb. 1   Abb. 2  

Abb. 1: Hier relativ normale Verhältnisse. Die Nasenmuscheln lassen noch genügend Luft (schwarz) durch die Nasenhöhle strömen obwohl die Scheidewand leicht verkrümmt ist

Abb. 2: Auf der rechten Seite des Bildes sehen sie verdickte untere Nasenmuschel und seitlich daneben die Kieferhöhle (M). Die Nasenatmung ist hier einseitig stark eingeschränkt. Die dünnen schwarzen Linien stellen die noch verfügbare Nasenatmung links dar!

Erklärung: Schwarz: Luft, Graustufen: Weichteile, Weiß: Knochen, IT: untere Nasenmuschel, M: Kieferhöhle, S: Nasenscheidewand

Genauere Informationen erhalten Sie über unsere Praxis. Bitte melden Sie sich an. Sie können nicht einfach so zur Laserung kommen, ich kann nur immer eine Laserconchotomie abends nach der Sprechstunde durchführen und sie müssen zum Eingriff das Spezialgel und die -salbe mitbringen, die Ihnen zuvor rezeptiert werden.

Wenn keine anderen Ursachen vorliegen empfehlen wir häufig die elegante ambulante laserchirurgische Verkleinerung (Lasercochotomie) 

 

Tauchen Schnarchen Verstopfte Nase Allergie-Infos Stimm- u. Sprachstör. Audiologie Schlaf- u. Schnarchen Bildgebung Medikamente Gleichgewichststörung Hörstörungen Mandelentzündungen Operatives Spektrum Links


Diese Homepage ist kein Ersatz für eine fundierte ärztliche Untersuchung, Beratung und Behandlung in einer HNO Praxis!
Sie stellt lediglich allgemeine Informationen für Interessierte, nicht für Erkrankte, zur Verfügung, die möglicherweise auch veraltet sein können. Wir lehnen jegliche Verantwortung oder Garantie über die Richtigkeit der o. a. Informationen ab. Für den Inhalt der angezeigten Links sind alleine die entsprechenden Seitenbetreiber verantwortlich. Copyright 1998 | HNO-Praxis am Wasserturm | Alle Rechte vorbehalten
Stichworte: HNO Mannheim Hals-Nasen-Ohren Operationen ambulant Rachenmandeln Praxis Praxisklinik stationär TKH Theresienkrankenhaus Mandeloperation Septumplastik Nasennebenhöhlen Kieferhöhlen Nasenatmung Lasertherapie Laser Nasenmuscheln Schnarchen Schnarchoperationen Allergie Tinnitus Focus-Empfehlung HNO-Arzt Mannheim
Bei Fragen zur berufsrechtlichen Regelung von in Deutschland ausgebildeten Ärzten können Sie weitere Informationen beziehen bei: Bezirksärztekammer Nordbaden, Keßlerstraße 1, 76185 Karlsruhe, Telefon: 0721-5961-0, Telefax: 0721-5961-140.